- news
- 2026.05.04
- マウスピース矯正の費用について|武蔵小金井のハーヴェスト矯正歯科が解説

-
歯並びが
気になって
自信が持てない -
都内まで
通うのが大変で
続けられるか不安 -
マスク生活が減り
見た目が気になる -
痛みや違和感で
続けられるか不安 -
歯並びが気になって
写真や動画に
写りたくない -
接客や営業で
第一印象を良くしたい
武蔵小金井ハーヴェスト歯科・矯正歯科の矯正治療で解決!
RESOLUTION!
-
01年間症例数307
安心・安全の前提専門の知識・技術を持つ歯科医師が担当。
院内で厳しい基準をクリアした歯科医師が治療にあたることで、治療の質を担保しています。※症例数は2023年1月〜12月の実績
-
02専門性のある
歯科医師専門知識と実績を持つ歯科医師が行う、高品質なマウスピース矯正です。
-
03最先端技術の
導入光学スキャナーやCTを用い、三次元的なシミュレーションに基づいた精度の高い治療を実現しています。
-
04矯正を基軸とした
高度審美・
機能治療セラミックや咬合治療など、矯正治療プラスαの専門的な治療で、さらなる審美治療をワンストップで実現。
マウスピース
矯正
CLEAR ALIGNER
ORTHODONTICS
-
- 高水準の治療
- 矯正治療専門の歯科医師による治療を実施
-
- 一貫対応
- 経験豊富な専門歯科医師がカウンセリングから仕上げまで責任を持って担当
-
- 丁寧な治療
- 患者さま一人ひとりの歯並びやライフスタイルに合わせた丁寧な治療を提供。
-
- 安心
- 歯周病や虫歯の治療なども含め、口腔内をトータルで解決できる体制
魅せる笑顔を
手に入れる
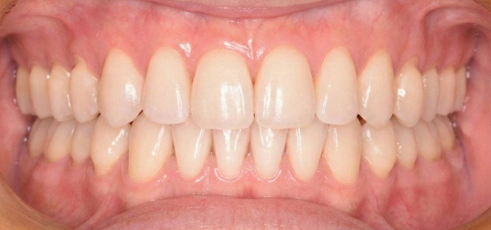
高度な診断と技術を持つ専門性のある歯科医師が担当したマウスピース矯正の一例
Before
After
マウスピース矯正(20代女性)
| 抜歯 | あり |
|---|---|
| 治療期間 | 2.5年 |
| 通院回数 | 12回 |
| 費用 | 1,023,150円 |
| リスク・副作用 | 歯根吸収、疼痛、咬合の変化、後戻りなど |
※本症例の結果は患者さま個々の状況により異なります

- 装置が目立つのは避けたい人
- 仕事や学校で口元を気にしたくない人
- 食事や歯磨きを普段通りにしたい人
- 矯正の痛みや違和感を抑えたい人
- ワイヤー矯正に抵抗がある
- 定期的に外して調整したい人
マウスピース矯正の
メリット
Merit
-
01見た目・
目立たなさ専門の知識・技術を持つ歯科医師が担当。
透明だから周りに気づかれにくい
写真や動画でも目立たず安心 -
02生活のしやすさ
取り外し可能で食事・歯磨きもストレスなし
-
03快適さ・衛生面
痛みや擦れが少ない
自宅で簡単に手入れできる -
04柔軟性
ライフスタイルに合わせて治療ペースを調整可能
治療の流れ
Flow
-
01
矯正相談無料
-
02
精密検査
-
03
綿密な治療計画の立案・診断
-
04
虫歯や歯周病の治療
ブラッシングの練習 -
05
装置装着・調整
-
06
保定期間・定期チェック
マウスピース矯正の
料金
Price
| 相談料 | 無料 |
|---|---|
| 矯正検査・診断料 | 33,000円 |
| 基本料(調整料込み) | 98万2,500円 〜108万5,850円 |
その他、定定期的な歯周病予防のメンテナンスが必要になる方もいます。
3か月に1度程度 保険治療:3,000円程度
ワイヤー
矯正
WIRE
ORTHODONTICS
※画像はイメージです
日本矯正歯科学会
認定医の先生が担当
マウスピースでは難しい複雑な歯並びや噛み合わせの調整も、
ワイヤー矯正でしっかり整えられます。
ワイヤー矯正の
料金
Price
| 相談料 | 無料 |
|---|---|
| 矯正検査・診断料 | 33,000円 |
| 基本料(調整料込み) | 86万6,250円 〜133万9,250円 |
